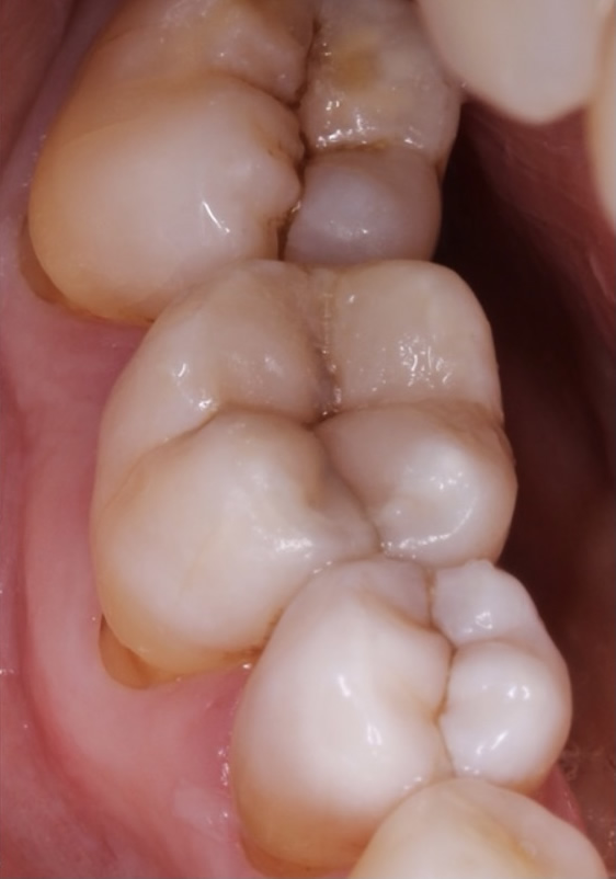
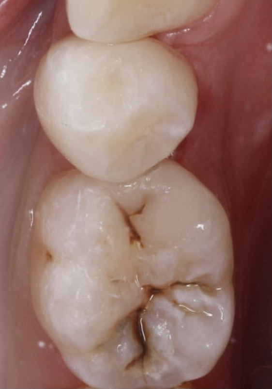
Composite (Invisible) Fillings

For a finish that blends in with the colour of your teeth

Why Choose Composite (Invisible) Fillings?

Composite filling materials are used to restore teeth back to their correct form and function for example when you have a cavity (tooth decay) or need an old failing filling renewed. They have evolved significantly to become stronger, more durable and highly aesthetic to create an almost invisible finish that blends in with the colour and natural appearance of your teeth. Due to their ability to bond to tooth, they preserve much more tooth structure and therefore provide a minimally invasive solution. They can also be used for bonding and corrective aesthetic procedures for teeth that may be; crooked, chipped, worn or even close up gaps between your teeth. These types of procedures can also be used in combination with orthodontic systems such as Invisalign to give you an enhanced smile.

At Clarence Dental Practice we exclusively use tooth coloured resin materials as the silver amalgam fillings contain mercury, are aesthetically poor and are not as environmentally friendly.

Clarence Dental Practice in Staines upon Thames

Practice was established in 1988

TOP