Teeth Whitening in Staines

Fast, affordable smile enhancement

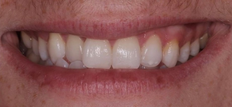
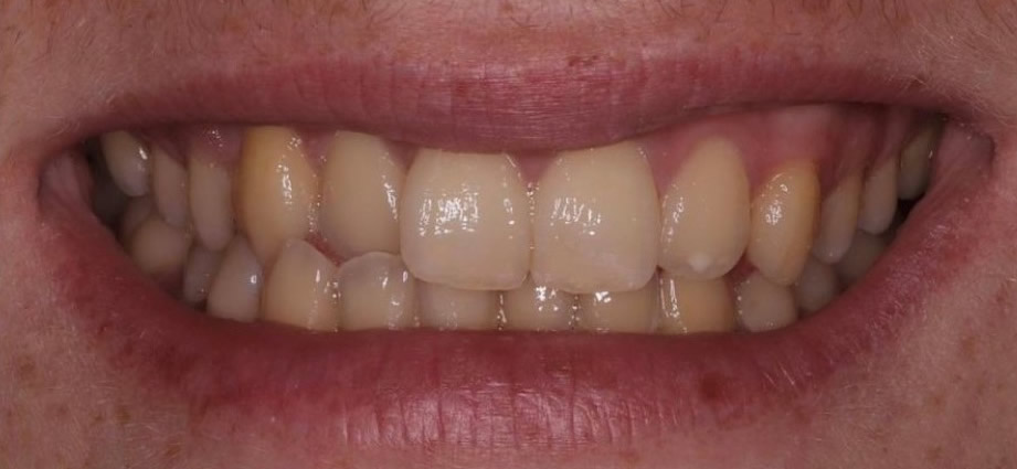
For a Brighter Whiter Smile

Everybody loves a radiant white smile, and there are a variety of products and procedures available to help improve the look of yours.

While a lot of people may try whitening their own teeth using over the counter products, this isn’t always the best option. There are many ways teeth can become discoloured (for example with tobacco, tea, coffee, wine, coloured foods, ageing and certain medications).

Professional tooth whitening in Staines is a simple, safe and cost-effective way of improving the colour of your teeth with minimal intervention. The results can make a noticeable difference to your smile, helping you to feel younger and more confident. Boutique Whitening is a safe, effective way to enhance your smile.

How does tooth whitening work?

Customised made trays are fabricated in which selected whitening gel is placed. You can either wear the trays for 1 hour (Day wear) or overnight (Night wear) according to your preference and will achieve the same result. Everybody is different and you have the flexibility to stop the whitening whenever you have achieved the colour you want. We have been trained and licensed to perform this kind of treatment, and therefore know how to approach each individual situation.

Are there any side effects of teeth whitening?

A common side effect is that some people do find that their teeth become sensitive during and after the treatment, but this can be easily resolved by using a recommended sensitive toothpaste. Some individuals may experience sore gums or white patches on the gumline, although these symptoms should subside within a few days of having the treatment.

How to maintain whiter teeth in Staines?

With the procedure the teeth should maintain the level of whiteness for up to three years, depending on your diet and oral health.

In order to maintain your whitened teeth colour for as long as possible you should:

  • Top up with gel whenever required
  • Brush your teeth at least twice a day using a fluoride toothpaste
  • Reduce intake of dark-coloured drinks and food as well as smoking
  • Regular Hygiene and Cosmetic Stain Removal appointments with our hygienists

New Plan Members Special Offer Vouchers

Vouchers - PDF document open in a new window

Clarence Dental Practice in Staines upon Thames

Practice was established in 1988

TOP