Veneers

The Perfect Treatment For Beautiful Smiles!

Why Choose Veneers in Staines?

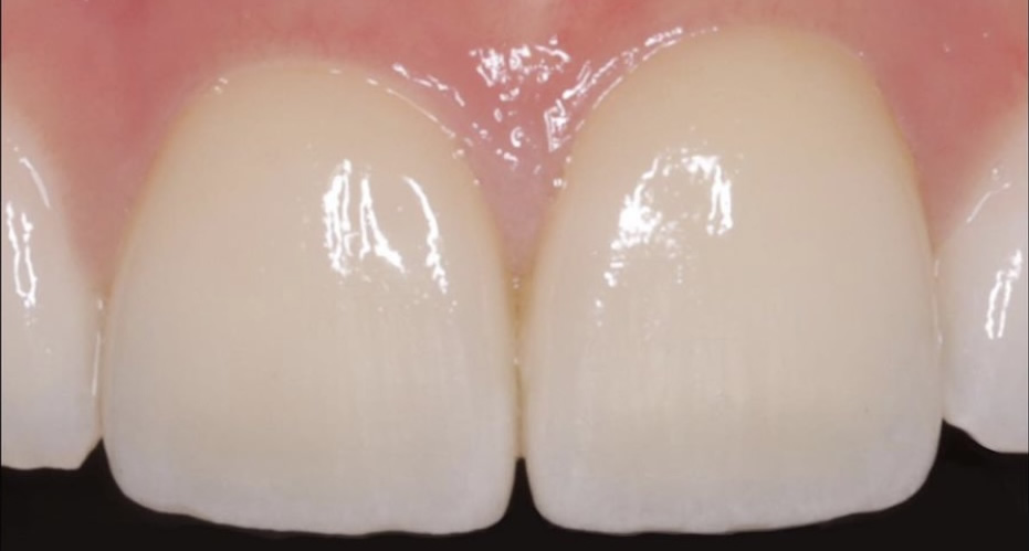
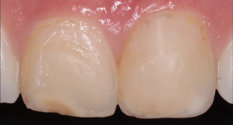
This popular aesthetic treatment involves the application of thin layered porcelain or composite coverings, to the front surfaces of your teeth. They can be used for a variety of situations such as when teeth are crooked, damaged, chipped, worn, excessively stained or as part of a smile makeover.

The veneers are expertly crafted for each individual’s unique situation to achieve a beautiful finished result. Although they are made thin for optimal aesthetics, the veneers are carefully bonded to your teeth for increased strength and allow for maximum preservation of tooth structure.

Clarence Dental Practice in Staines upon Thames

Practice was established in 1988

TOP